
Latest science news: Ariane 6 rocket launch | Dinosaur footprints | MAVEN signal loss
LIVE Wednesday, Dec. 17, 2025: Your daily feed of the biggest discoveries and breakthroughs making headlines.

By Paul Sutter published
The Atacama Cosmology Telescope (ACT) in Chile has released its final batch of data after 15 years — and it proves that the Hubble tension, a rift in our understanding of the universe, is very real.

By Elizabeth Howell published
Tracking comets accurately is hard. A new effort with the U.N. and NASA aims to better chart these visitors using 3I/ATLAS.

By Jamie Carter published
Astronomers used major telescopes across the world to probe a cosmic explosion 8 billion light-years from the solar system.

By Harry Baker published
Earth from space A 2022 astronaut photo shows a thick blanket of snow covering Yellowstone Lake, transforming the frozen body of water into a featureless white void. But below the ice lie some of Earth's hottest hydrothermal vents.

By Stephanie Pappas published
A thick layer of more than 12 miles of rock may explain why Bermuda seems to float above the surrounding ocean.

By Sascha Pare published
Since 1978, China has planted more than 66 billion trees along its 2,800-mile-long northern border, and it wants to plant 34 billion more over the next 25 years to complete its "Great Green Wall."

By Sascha Pare published
The Amazon rainforest currently has a few days or weeks of hot drought conditions per year, but researchers say this could increase to 150 days per year by 2100.

By Stephanie Pappas published
A 1956 eruption collapsed much of the Bezymianny volcano in Kamchatka, Russia, but frequent eruptions since — including a large event in November — means it has now almost completely regrown.

By Kristina Killgrove published
Five millennia ago, ancient fishers buried a dog alongside a dagger in a lake bed. Archaeologists are trying to figure out why.

By Dani Leviss published
An ancient fingerprint and several chemical clues from a 2,400-year-old sea raiders' boat are revealing secrets about where some mysterious attackers came from during the Iron Age.

By Kristina Killgrove published
A pilgrim who visited the Second Temple in Jerusalem may have carved their memories into a limestone block for another synagogue.

By Ray Laurence published
The discovery of a 2,000-year-old building site in Pompeii reveals the raw ingredients for ancient Roman self-healing concrete.

By Kenna Hughes-Castleberry published
The genetic link between squids and octopuses may just be found in the vampire squid genome.

By Emma Bryce published
Turtle shells evolved over the course of 300 million years, but self-defense wasn't the initial driver, researchers think.

By Sascha Pare published
Cassius was an 18-foot-long saltwater crocodile living in captivity in Marineland Crocodile Park in Australia. He died last year at the age of about 120, and we finally know why.

By Kenna Hughes-Castleberry published
A new study reveals an unknown species of whiplash squid burying itself upside down in the deep sea — a first-of-its-kind behavior for cephalopods.

By Chris Simms published
There are eye-opening claims that orcas and dolphins are working together on salmon hunts and sharing food — but not everyone is convinced.

By Sascha Pare published
Researchers have counted 16,600 fossilized dinosaur footprints and 1,378 swim tracks at a site in Bolivia that showcase a variety of behaviors and different theropods from the Cretaceous period.

By Zunnash Khan published
Controlling immune cells' internal clocks helped reduce inflammatory damage in conditions like heart attack and sickle cell disease, a mouse study found.

By Clarissa Brincat published
A study suggests psychiatric disorders can share the same genetic signatures and that they may stem from shared biological mechanisms.

By Tia Ghose published
In December 1911, Roald Amundsen and his crew reached the South Pole, beating his rival, Robert Falcon Scott, by 35 days. Scott and his crew didn't survive the return trip.

By Abby Wilson published
Traumatic tattoos aren't like regular ones, and they often involve pencils.

By Nicoletta Lanese published
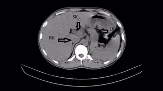
A California woman was scheduled to have a large cyst removed but, in the lead-up to the procedure, learned she had a rare ectopic pregnancy.

Science questions, answered

Extraordinary images of our sublime universe

Unusual case reports from the medical literature

A window onto extraordinary landscapes on Earth

A glimpse into how people lived in the past

Incredible images of our planet from above

By Fiona Jackson published
Scientists have discovered that over half a mile of DNA could hold over 360,000 terabytes of data.

By Tristan Greene published
The novel 3D wiring architecture and chip fabrication method enable quantum processing units containing 10,000 qubits to fit in a smaller space than today's 100-qubit chips.

By Rory Bathgate published
A new sodium-ion battery offers a cheaper and safer alternative to conventional lithium-ion systems, scientists say, paving the way for more sustainable EVs.

By Mason Wakley published
Chemists used waste cooking oil to create a sustainable, super-sticky adhesive that's strong enough to hold up hundreds of pounds of weight.

By Elizabeth Howell published
Scientists hunted dark matter and solar neutrinos with one of the largest experiments yet. While the neutrinos likely appeared, dark matter results couldn't be confirmed.

By Harry Baker last updated
Science crossword Test your knowledge on all things science with our weekly, free crossword puzzle!

By Andrew Williams, Anna Gora last updated
Buying Guide These are the best fitness trackers you can buy in every category, from Amazfit Balance and Garmin Fenix 8 to Whoop MG.
Please login or signup to comment
Please wait...