Sleep news, features and articles
Sleep is a crucial physiological process that gives the body the opportunity to fully rest and rejuvenate itself. Humans spend around a third of their lives sleeping and yet many of us still fail to regularly catch those precious winks. Sleep deficiency can cause an array of physical and mental health problems, such as heart disease, high blood pressure, diabetes, stroke and depression. Discover what happens in the brain while you sleep, why some people need less sleep than others, whether white noise can help you sleep better and more in our latest articles below.
Discover more about sleep
—Sleep: Facts about how and why we sleep
Latest about Sleep

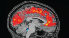
Study reveals why the brain 'zones out' when you're exhausted
By Sophie Berdugo published
Your sleep-deprived brain behaves as if you were about to nod off to sleep, even when you're awake.

'DST just seems so pointless': Poll reveals most Live Science readers want to eliminate daylight saving time
By Sophie Berdugo published
Thousands of Live Science readers responded to our poll asking if they would get rid of daylight saving time.

Would you get rid of daylight saving time?
By Sophie Berdugo published
The clocks in the U.S. will be "falling back" on Sunday, Nov. 2, marking the end of daylight saving time for 2025. If you could decide, would you abandon it forever?

Scientists have just defined five sleep profiles — and some could help spot mental illness
By Theresa Sullivan Barger published
Researchers have identified five distinct profiles that map to certain brain signatures. Each profile is tied to certain behaviors and cognitive issues.

REM sleep may reshape what we remember
By Anirban Mukhopadhyay published
Researchers trace how different sleep stages may fine-tune what we remember, trading specifics for more general knowledge.

Abandoning daylight saving time could prevent over 300,000 stroke cases a year in the US, study claims
By Sophie Berdugo published
Springing forward by an hour each March knocks the circadian rhythm out of alignment. A new model of the chronic health impacts argues for scrapping it entirely.

Sleep: Facts about how and why we sleep
By Mindy Weisberger published
Learn facts about sleep, during which the body rests, recuperates and performs essential repairs.

Rare genetic mutation lets some people thrive on just 4 hours of shut-eye
By Patrick Pester published
A newly identified mutation helps super-sleepers get by on just four to six hours of shut-eye per night, while the rest of us need around eight hours. Researchers described the SIK3-N783Y mutation in a new study after testing it on sleep-deprived inbred mice.
Get the world’s most fascinating discoveries delivered straight to your inbox.


