wine
Latest about wine

What the Bacteria in Your Mouth May Reveal About Your Cancer Risk
By Sara G. Miller published
The bacteria in your mouth may be linked to your risk of certain cancers.

Wine-Loving Physicist Solves Bottle Drip Problem
By Kacey Deamer published
A scientist has created a wine bottle lip that doesn't drip.

Alcohol & Heart Health: New Study Untangles the Effects
By Sara G. Miller published
When it comes to alcohol and heart health, the back and forth between findings can leave you feeling dizzy.

Toilet to Tap: Brewery Creates Beer from Recycled Wastewater
By Kacey Deamer published
The brewery's "Full Circle" ale is made from recycled wastewater.

Harmful Cocktail: Alcohol Plus Energy Drinks May Raise Injury Risk
By Rachael Rettner published
People who mix alcohol with energy drinks may be at a greater risk of getting hurt while they are intoxicated than those who drink alcohol by itself.

Many Women Still Drink Alcohol When Trying to Get Pregnant
By Rachael Rettner published
About half of pregnant women in the United States drink alcohol around the time they become pregnant or in early pregnancy.

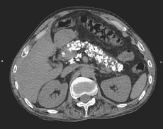
Stone Cold Vodka? Drinking Habit 'Calcifies' Man's Pancreas
By Rachael Rettner published
A 50-year-old man who drank half a pint of vodka a day for more than a decade developed numerous calcium deposits in his pancreas.

Beer Recall: Sierra Nevada Pulls Bottles Due to Chipped Glass Risk
By Rachael Rettner published
Sierra Nevada Brewing Co. is recalling some of its bottled beer sold in 36 states due to a potential risk of injury from the bottles.
Get the world’s most fascinating discoveries delivered straight to your inbox.


