Diagnostic dilemma — Unusual case reports from the medical literature
Latest about Diagnostic dilemma

Diagnostic dilemma: A scientist caught plague from bacteria thought to be 'noninfectious'
By Kamal Nahas published
A scientist who was working on plague-causing bacteria caught the disease despite using weakened strains that were deemed noninfectious.

Diagnostic dilemma: A man's deadly infection was triggered by a probiotic supplement
By Nicoletta Lanese published
A man with a complex medical history ended up with a rare bacterial infection after taking probiotics in the hospital.

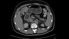
Diagnostic dilemma: A fish bone wandered through a man's abdomen and stabbed his liver
By Mindy Weisberger published
A man went to the hospital several times with gut pain and a fever — and it turned out that his relatively common symptoms had an unusual cause.

Diagnostic dilemma: After surgery, a 17-year-old could speak only a foreign language
By Christoph Schwaiger published
While waking up from knee surgery, a 17-year-old boy temporarily lost his ability to speak in his native language.

Diagnostic dilemma: Growing weed with bat poop left 2 men with deadly infections
By Emily Cooke published
Using bat poop to fertilize plants like cannabis can sometimes have deadly consequences. A report highlights two fatal cases that affected men in New York.

Diagnostic dilemma: Speed eating a 7-pound burger sent a man to ER unable to pass gas
By Mindy Weisberger published
A case report highlights one potential danger of competitive speed eating.

Diagnostic dilemma: Teen's improbable pregnancy occurred after oral sex
By Mindy Weisberger published
A teen girl with abdominal pain learned she was pregnant and had conceived under extremely unusual circumstances.

Diagnostic dilemma: Weakness in a man's leg revealed his abnormally small brain
By Christoph Schwaiger published
A man went to hospital complaining about weakness in his left leg, and subsequent brain scans revealed a surprising finding.
Get the world’s most fascinating discoveries delivered straight to your inbox.


