Diagnostic dilemma: A man went to the doctor for a bad UTI and learned he had an extra kidney
A man being treated for a urinary tract infection turned out to have a rare "supernumerary kidney."
Get the world’s most fascinating discoveries delivered straight to your inbox.
You are now subscribed
Your newsletter sign-up was successful
Want to add more newsletters?
Join the club
Get full access to premium articles, exclusive features and a growing list of member rewards.
The patient: A 31-year-old man in Wardha, India
The symptoms: The man visited a medical center after experiencing five days of pain on the right side of his lower back, as well as a burning sensation during urination and a fever higher than 102.2 degrees Fahrenheit (39 degrees Celsius).
What happened next: During a physical examination, doctors noted that the right side of the man's abdomen was painful when touched. His urine was cloudy, but his heart rate, blood pressure and respiration were within the normal range.
Article continues belowThe diagnosis: Blood work showed the man had elevated levels of leukocytes, white blood cells that fight infection. A urine culture identified a type of bacteria called Klebsiella pneumoniae, which is often associated with urinary tract infections, doctors wrote in a report of the case. Together, these findings confirmed the man had an active infection.
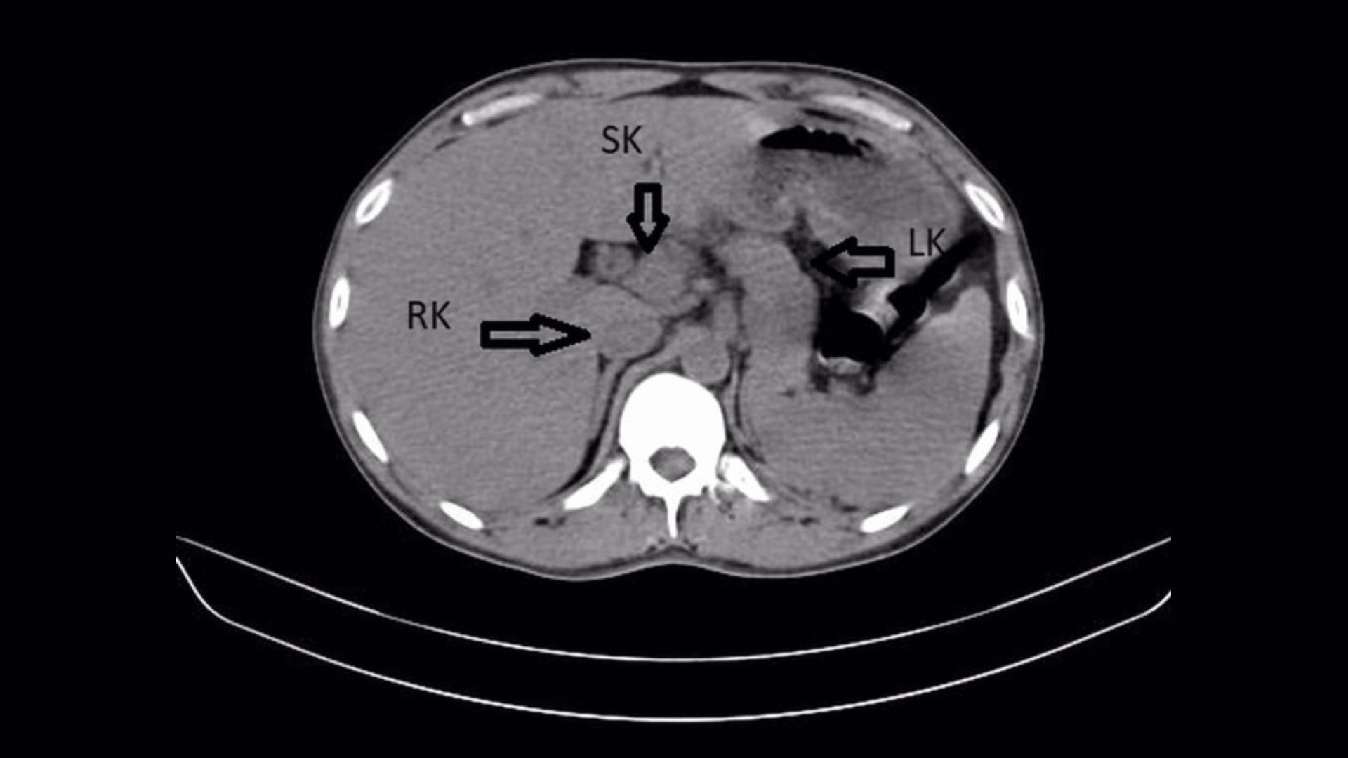
But in addition, an ultrasound and a CT scan of the patient's abdomen revealed something unexpected: a third kidney, also known as a supernumerary kidney. It was fused to the man's right kidney, creating a horseshoe shape.
A supernumerary kidney is a congenital anomaly that is thought to emerge during fetal development. It appears due to abnormal cell division in the cord that later forms the kidneys. A supernumerary kidney can sometimes lead to kidney infections, but the condition does not always affect normal kidney function and often goes undetected, according to the report.
In this case, the patient's left and right kidneys were swollen and showed accumulations of calculus, or mineral crystals. These hard crystals form when urine is more concentrated; small "stones" often pass normally during urination, but can lead to infection if they linger untreated in the kidneys.
Get the world’s most fascinating discoveries delivered straight to your inbox.
The signs of infection were more serious in the left kidney, with calculus buildup in the left ureter, the tube that connects the left kidney to the bladder.
The treatment: Doctors inserted a thin plastic tube, called a stent, into the left ureter to assist with urine drainage. Then, they gave the man intravenous courses of the antibiotics piperacillin and tazobactam three times daily, as well as the antibiotic levofloxacin every other day.
After 48 hours of medication and hydration, the patient's condition improved. He was discharged and told to follow up in one month to have the stent removed and to manage the calculus buildup in his kidney.
What makes the case unique: Supernumerary kidneys are extremely rare, with fewer than 100 new cases reported worldwide each year.
A fused "horseshoe" appearance with another kidney is even rarer, with only five cases reported in the scientific literature. Third kidneys can also be completely separate or loosely connected to another kidney by a thin layer of tissue.
Sometimes, a patient learns of their extra kidney during treatment for an unrelated ailment. For instance, a man from Brazil discovered that he had a third kidney after he visited a hospital for lower back pain caused by a herniated disk, Live Science previously reported. When doctors performed a CT scan of the painful area, they found a supernumerary kidney fused to the right kidney near the man's pelvis. All three kidneys appeared to be functioning normally and were not the cause of his discomfort in that case.
This article is for informational purposes only and is not meant to offer medical advice.
Nimkar, S. V., Yelne, P., Gaidhane, S., Acharya, S., Kumar, S., & Batra, N. (2022). Supernumerary kidney (triple kidney) with Horseshoe Malformation: A case report. Cureus. https://doi.org/10.7759/cureus.31436

Mindy Weisberger is a science journalist and author of "Rise of the Zombie Bugs: The Surprising Science of Parasitic Mind-Control" (Hopkins Press). She formerly edited for Scholastic and was a channel editor and senior writer for Live Science. She has reported on general science, covering climate change, paleontology, biology and space. Mindy studied film at Columbia University; prior to LS, she produced, wrote and directed media for the American Museum of Natural History in NYC. Her videos about dinosaurs, astrophysics, biodiversity and evolution appear in museums and science centers worldwide, earning awards such as the CINE Golden Eagle and the Communicator Award of Excellence. Her writing has also appeared in Scientific American, The Washington Post, How It Works Magazine and CNN.
You must confirm your public display name before commenting
Please logout and then login again, you will then be prompted to enter your display name.
