Health news, features and articles
Explore Health
Editor's Picks
Latest about Health

A doctor discovered the gene mutation behind his family's mysterious missing-teeth condition
By Kamal Nahas published
A doctor who had a genetic condition that prevents teeth from forming searched for the DNA mutation that had affected his family for over 150 years.

Pain lasts longer in women, and immune cells may be the culprit
By Geoffroy Laumet published
A newly published study suggests that the immune system may play a role in why recovery from pain differs in men and women.

The 'sweet spot' of overconfidence — project a bit to be perceived as competent, but don't be 'too seduced,' a cognitive neuroscientist explains in a Q&A
By Tim Vernimmen, Knowable Magazine published
INTERVIEW Q&A with cognitive neuroscientist Steve Fleming: What the science of self-awareness can tell us about confident decision-making

Inherited diseases don't work like we thought they did
By Stephanie Pappas published
"Monogenic" diseases, triggered by mutations in just one gene, may actually be more complex than scientists thought.

'It doesn't lie. So who are you?': What happens when DNA tests show a woman is not the mother of the child she gave birth to?
By Lise Barnéoud published
"At first, I kind of laughed … But they were serious. I could just see the seriousness in their faces." In this book excerpt, Lise Barnéoud explores the limitations of DNA testing.

COVID-19 vaccination during pregnancy may cut risk of preeclampsia
By Gabriela Galvin published
A study of more than 6,500 mothers found that COVID-19 vaccination during pregnancy significantly lowered the risk of preeclampsia, a dangerous blood-pressure disorder.

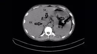
A parasite never before seen in humans was behind a woman's lung infection, organ damage and forgetfulness
By Mindy Weisberger published
A woman developed a persistent infection, and doctors couldn't pinpoint the cause for many months.

Obesity is linked to 1 in 10 deaths from infection worldwide — and scientists are still learning why
By Stephanie Pappas published
A new study finds that people with obesity are more likely to be hospitalized with or die from severe infections.

How menopause affects the brain — and what we still don't know
By Barbara Jacquelyn Sahakian, Christelle Langley published
A new study shows that that menopause was associated with worse sleep, increased mental health problems and even changes within the brain itself.

'Some of them have accuracy that's close to zero': Experts unpack the promise and pitfalls of genetic tests aimed at consumers
By Nicoletta Lanese published
INTERVIEW Live Science spoke with a bioethicist and sociologist about emerging genomic technologies, including those that enable parents to "score" and "select" IVF embryos.
Get the world’s most fascinating discoveries delivered straight to your inbox.



