Study reveals why the brain 'zones out' when you're exhausted
Your sleep-deprived brain behaves as if you were about to nod off to sleep, even when you're awake.
Get the world’s most fascinating discoveries delivered straight to your inbox.
You are now subscribed
Your newsletter sign-up was successful
Want to add more newsletters?
Delivered Daily
Daily Newsletter
Sign up for the latest discoveries, groundbreaking research and fascinating breakthroughs that impact you and the wider world direct to your inbox.
Once a week
Life's Little Mysteries
Feed your curiosity with an exclusive mystery every week, solved with science and delivered direct to your inbox before it's seen anywhere else.
Once a week
How It Works
Sign up to our free science & technology newsletter for your weekly fix of fascinating articles, quick quizzes, amazing images, and more
Delivered daily
Space.com Newsletter
Breaking space news, the latest updates on rocket launches, skywatching events and more!
Once a month
Watch This Space
Sign up to our monthly entertainment newsletter to keep up with all our coverage of the latest sci-fi and space movies, tv shows, games and books.
Once a week
Night Sky This Week
Discover this week's must-see night sky events, moon phases, and stunning astrophotos. Sign up for our skywatching newsletter and explore the universe with us!
Join the club
Get full access to premium articles, exclusive features and a growing list of member rewards.
We've all experienced the intense struggle to pay attention after a bad night's sleep — and a new study shows what happens in the brain as that feeling arises.
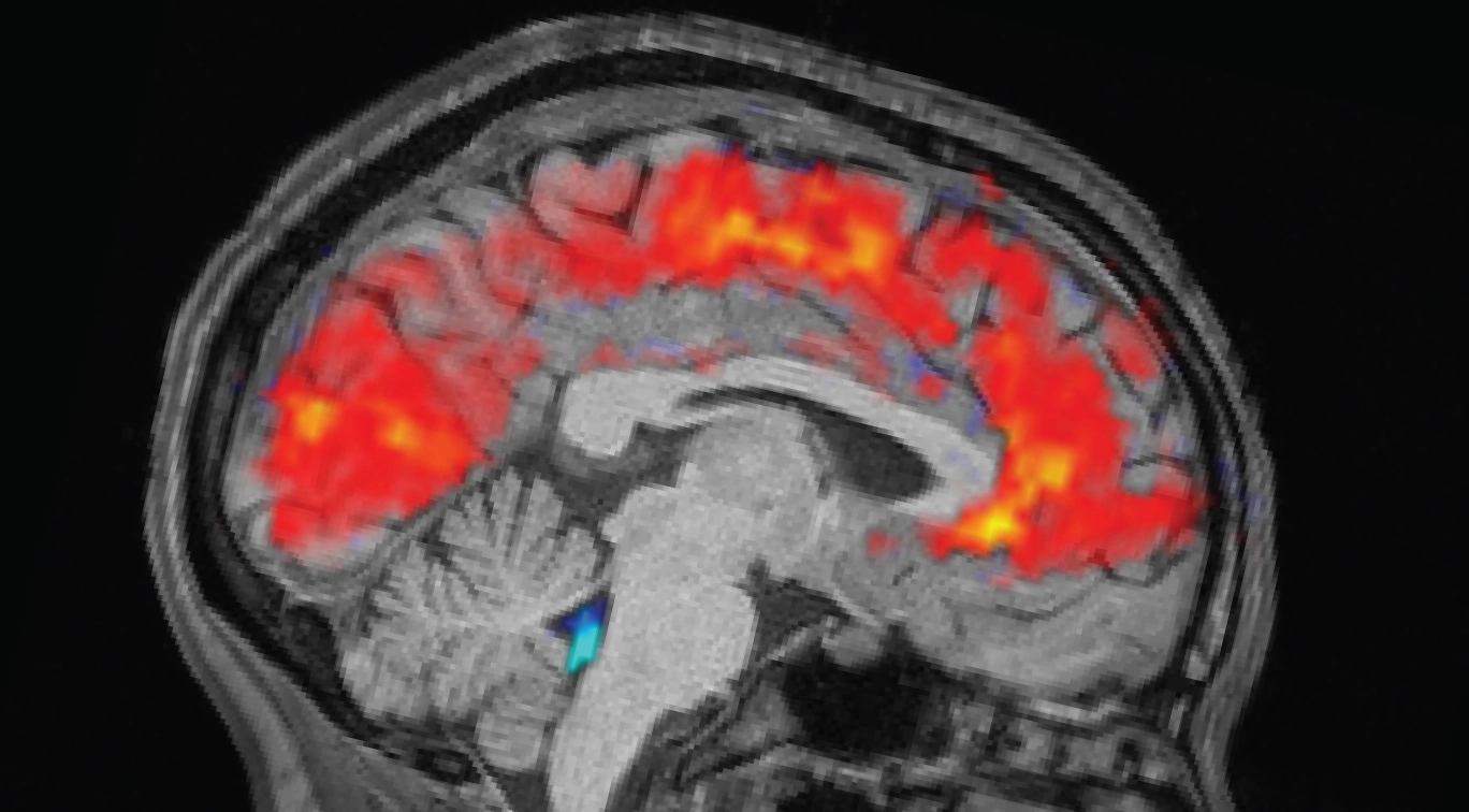
When you zone out after pulling an all-nighter, the brain flushes out cerebrospinal fluid (CSF), which surrounds the brain and spinal cord and is part of the brain's waste-disposal system. This CSF then floods back into the brain when you snap out of it, according to the study, published Oct. 29 in the journal Nature Neuroscience.
These fatigue-induced attention failures are also accompanied by massive changes in blood flow and pupil size, the study found. Until now, these physiological responses were not known to work in tandem when the brain spaced out from exhaustion.
"By measuring so many different kinds of information about the brain at the same time, we were able to see that these many different things that at first we thought were separate were actually kind of moving together," study co-author Laura Lewis, an associate professor of neuroscience at MIT, told Live Science.
Sleep is critical for maintaining a healthy brain, and experts recommend that adults get seven to nine hours of shut-eye a night. Not getting enough sleep takes a toll on a person's mental and physical health, and also impairs our ability to pay attention. "However, the neural basis of sleep deprivation-induced attentional failures is not yet well understood," the authors wrote in the study.
To investigate, they recruited 26 healthy volunteers ages 19 to 40 — of whom 19 were female. All the participants took part in two study conditions spaced roughly 10 days apart: well-rested and sleep-deprived. Half completed the well-rested session first, while the others started with sleep deprivation.
The rested individuals slept for 6.5 to 9 hours at home, while sleep-deprived individuals were kept awake all night in the laboratory. In the morning before each trial, the team strapped electroencephalogram (EEG) caps onto the participants to record their brain waves with electrodes. Simultaneously, the participants underwent functional MRI (fMRI) scans to reveal patterns in blood and CSF flow in the brain. Eye-trackers measured the participants' pupil size.
Get the world’s most fascinating discoveries delivered straight to your inbox.
Those are things that we don't usually think about as being tightly locked in time — your ability to pay attention to the world and then basic fluid movement in the brain.
Laura Lewis, MIT
The participants then completed tasks that flexed their visual and auditory attention; they pressed a button as soon as they saw an image or heard a noise. Additionally, the researchers gathered data on baseline brain activity by having the participants rest for 25 minutes without doing any tasks.
As expected, participants took longer to notice the stimuli when tired, and missed the cues more often than they did when they were well rested. But the team was surprised to see giant pulses of CSF in the exhausted individuals, alongside patterns of slow brain waves — both of which are normally observed in non-REM sleep.
Specifically, the patterns resembled that seen as a person shifts from stage N1 into N2, the first two of three stages of non-REM sleep that people experience each slumber. "This was something that previously we'd only seen on this scale during sleep," Lewis said.
The CSF flow was closely linked to pupil size, with the large inward flow following pupil dilation and the outflow coming after pupil constriction. This connection was more pronounced in sleep-deprived individuals, which could suggest the body's circulatory system underpins this coupling, the authors wrote. The CSF flows also coincided with when individuals zoned out during tasks.
"When you have attention failures … you have this fluid being flushed out of your brain, and when you regain attention, when you begin to respond to stimuli again, this fluid is flowing back into the brain," study first author Zinong Yang, a computational neuroscientist at MIT, told Live Science.
"Those are things that we don't usually think about as being tightly locked in time — your ability to pay attention to the world and then basic fluid movement in the brain," Lewis added.
The researchers think that the brain patterns they're seeing might reflect the sleep-deprived brain shifting into a sleep-like state, but while it's still awake. The lapses in attention signal the start of these sleep-like brain processes, but they get interrupted before proper sleep sets in.
But for now, the functional reason behind the huge shifts in blood flow are not clear, Lewis noted. Future work could examine whether and how these patterns affect the clearance of toxic metabolic waste from the brain, the authors wrote.
Michael Chee, director of the Centre for Sleep and Cognition at the National University of Singapore, who was not involved in the study, said the research is "an impressive piece of physiology work." He thinks the autonomic nervous system, which controls unconscious bodily functions, is driving these signals.
"I think that the big lesson is that 'Hey, look; this humble autonomic system that we don't really pay attention to is actually orchestrating some of the biggest signal changes, pupil changes, EEG signal changes, BOLD signal [fMRI] changes,'" he told Live Science.
However, Chee emphasized that the participants experienced 24 hours of sleep deprivation, whereas most people lose only a few hours of sleep on a bad night. "That's a heavy manipulation," he said, so "they are outsized effects."
Studying these brain changes in people with sleep problems could point to new treatment targets, Chee added.
Sleep quiz: How much do you know about sleep and dreams?

Sophie is a U.K.-based staff writer at Live Science. She covers a wide range of topics, having previously reported on research spanning from bonobo communication to the first water in the universe. Her work has also appeared in outlets including New Scientist, The Observer and BBC Wildlife, and she was shortlisted for the Association of British Science Writers' 2025 "Newcomer of the Year" award for her freelance work at New Scientist. Before becoming a science journalist, she completed a doctorate in evolutionary anthropology from the University of Oxford, where she spent four years looking at why some chimps are better at using tools than others.
You must confirm your public display name before commenting
Please logout and then login again, you will then be prompted to enter your display name.
