This Man Went 5 Days with a Chicken Bone Stuck in His Lung
Get the world’s most fascinating discoveries delivered straight to your inbox.
You are now subscribed
Your newsletter sign-up was successful
Want to add more newsletters?
Join the club
Get full access to premium articles, exclusive features and a growing list of member rewards.
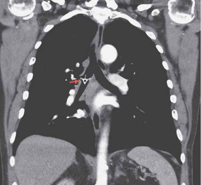
It really did go down the wrong pipe: A striking new image shows a chicken bone lodged in an Australian man's lung. What's more, the bone was stuck there for five days before it was discovered.
The 78-year-old man initially went to the emergency room right after he choked while eating chicken, according to a new report of his case. He told doctors that he felt like he had something stuck in his throat; however, an X-ray of his neck and chest didn't show anything suspicious.
So, doctors assumed that whatever had been stuck had been dislodged, and the man was sent home.
However, five days later, the man was back in the ER — he had developed a fever and shortness of breath, and there was a high-pitched wheezing sound when he inhaled, according to the report, published yesterday (May 2) in The New England Journal of Medicine. [11 Weird Things People Have Swallowed]
This time, doctors performed a CT scan, which showed a chicken vertebra bone in the right "mainstem bronchus," the airway that branches off from the trachea into the lung. An area in the man's right lung wasn't inflating properly, but this symptom was minor, the report said.
But how did an inhaled chicken bone go undetected for five days?
When an adult accidentally inhales a foreign body, the diagnosis can sometimes be delayed by weeks or months — or even years. A 2013 report from Canada described the case of a woman who went 22 years with a bone fragment lodged in her bronchus. And last year, a 47-year-old man in England learned that he had a tiny toy traffic cone lodged in his airway, from an incident 40 years earlier.
Get the world’s most fascinating discoveries delivered straight to your inbox.
A delayed diagnosis can happen because, if a foreign body is relatively small and doesn't completely block the airway (which would cause asphyxiation), it can pass into one of the lungs and cause less-severe symptoms than it would if it completely blocked the airway, according to a 2012 report of a case of foreign-body inhalation. What's more, up to 80 percent of foreign bodies are not visible on chest X-rays alone, according to the 2013 report.
Dr. Robert Glatter, an emergency-medicine physician at Lenox Hill Hospital in New York City who was not involved in the man's case, said it wouldn't be unreasonable to discharge a patient who came in for a choking episode if the patient didn't have breathing or swallowing problems and their initial X-rays didn't show a foreign body (as was the case for the Australian man). In some cases, doctors may do a CT scan in addition to the X-ray, if they suspect a foreign body in a person's lungs. But "the problem is that so many patients [show these symptoms] and they clear their airways [on their own], and they go on to do fine," Glatter told Live Science. Only a small proportion of people end up having a delayed presentation of a foreign body in the lungs, although it's still a problem that doctors worry about, he added.
A delayed diagnosis can lead to complications, including post obstructive pneumonia, or inflammation that occurs around the foreign body in the lungs, Glatter said.
In the Australian man's case, he received a bronchoscopy, a procedure in which a long, flexible tube with a camera is inserted into the lung, to remove the chicken bone. The patient "recovered well after the procedure" and was discharged from the hospital three days later, the report said.
Original article on Live Science.

Rachael is a Live Science contributor, and was a former channel editor and senior writer for Live Science between 2010 and 2022. She has a master's degree in journalism from New York University's Science, Health and Environmental Reporting Program. She also holds a B.S. in molecular biology and an M.S. in biology from the University of California, San Diego. Her work has appeared in Scienceline, The Washington Post and Scientific American.
